Bacteriology
Spread of bacteria and resulting diseases in Norwegian Aquaculture is to a large extent control by effective vaccines. However, some diseases caused by bacteria are still not controlled and large research efforts are still necessary to reduce the losses in productions of salmonids. The our group is focusing its research on characterization of intracellular bacteria, development of diagnostics, interactions of these bacteria with the hosts and their reservoirs and transmission. Another important aim is to understand the possible transmission of bacteria between wild and farmed fish.
Hovedinnhold
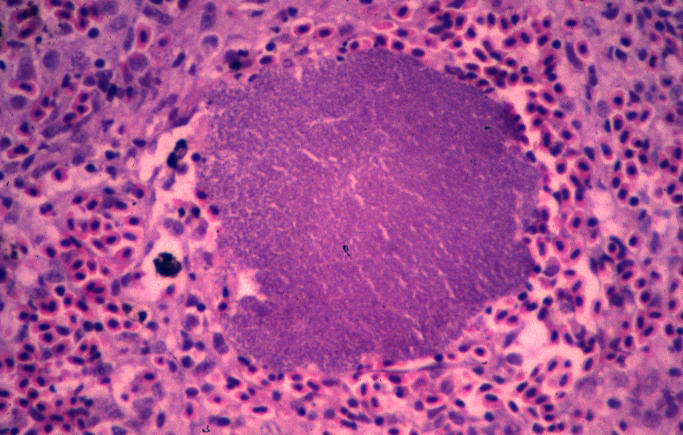
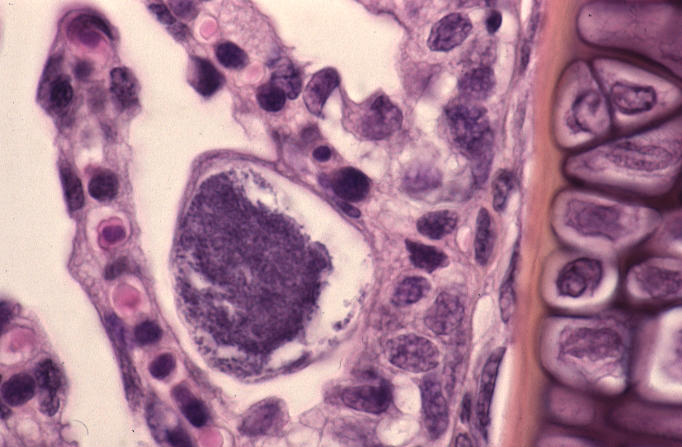
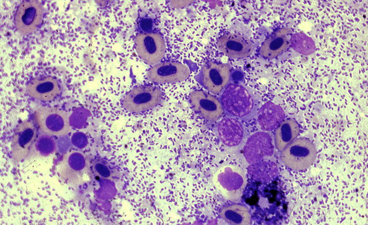
Effective vaccines are controlling important salmonid diseases like furunculous and vibriosis while diseases caused by intracellular bacteria like Piscirickettsia salmonis, Francisella spp., and several different chlamydia-like bacteria are not controlled or they are limited by stamping out infected populations. The latter measure can be very expensive for the industry and the aim of the FDR group is to generate new insight into the biology of these bacteria which could make a foundation for development of vaccines or other combat strategies that could limited the losses associated with these pathogens. As part of this strategy we have been developing a genotyping system for Francisella spp. which makes it possible to detect transmission routes for this group of bacteria and hence, limit the dissemination of these bacteria. The FDR group has also sequenced the complete genome of three different Francisella spp. An important fresh water disease for salmonids is caused by Flavobacterium psychrophilum which can be transmitted from brood fish to offspring. In this case vaccine development may not be a strategy since this disease is occurring early in the production cycle and, hence, the FDR group has been focusing on characterization of F. psychrophilum isolates to identify the virulent types and prevent these from being circulated in the production cycle of salmonids. A genotyping system, based on VNTRs, has been developed. F. psychrophilum is also a large problem in some culture facilities for wild salmonids.


