Ny forskning på Sjögrens syndrom
Hovedinnhold
Siden tidlig på 90-tallet har forskning på Sjögrens syndrom vært sentral ved Broegelmanns forskningslaboratorium og Revmatologisk avdeling, tilknyttet Oral patologi ved Avdeling for patologi og Institutt for klinisk odontologi. Godt samarbeid med revmatologiklinikken og høy grad av deltakelse fra pasientene, ofte over flere år, har vært avgjørende for å kunne studere ulike sider av sykdommen, og koble forskningen opp mot pasientenes symptomer og sykdomstegn. Gjennom samarbeid i Norge og Europa vil pasienter på Vestlandet gjennom den kliniske studien NECESSITY kunne delta i utprøvningen av en helt ny behandling av Sjögrens syndrom.
Sjögrens syndrom er en autoimmun sykdom som hovedsakelig rammer kvinner i 40-60 års alderen. Det er stadig en utfordring å diagnostisere Sjögrens syndrom på et tidlig stadium. Flere kliniske tegn kommer ganske sent i sykdomsforløpet, og mye kunnskap er fokusert mot fullt utviklet sykdom og kronisk betennelse. Sjögrenforskningen i Bergen begynte med at vi lette etter årsaker til den kroniske betennelsen, ved å undersøke blodprøver for tegn til tidligere herpesinfeksjon. Vi har også brukt dyremodeller for å kartlegge tidlige stadier i sykdomsutviklingen.
For å forstå hvordan sykdommen oppstår har vi jobbet med å finne arvelige faktorer (genetiske markører). Genetiske studier er ressurskrevende både med tanke på pasientmateriale og laboratorieutstyr, og forskningen har vi gjennom flere år utført i et stort, internasjonalt samarbeid. For 10 år siden kunne vi sammen med forskere fra Oklahoma, USA presentere de første genetiske markørene (12 kandidatgener) for Sjögrens syndrom, og nylig ytterligere 10 kandidatgener.
Ved autoimmune sykdommer kan kroppen lage antistoff mot seg selv. Mange pasienter med Sjögrens syndrom har antistoff mot Ro/SSA og La/SSB, som ofte påvises i forbindelse med utredning og diagnose. I samarbeid med forskere i Sverige fant vi at disse antistoffene kan påvises i blodprøver lenge før både symptom vises og diagnose faststilles. Oppdagelsen var mulig takket være en serumbiobank med prøver fra 625.000 kvinner, deriblant 29 Sjögren pasienter. Vi har også vist at pasienter som har antistoffer mot Ro/SSA og La/SSB ser ut til å ha et annet sykdomsbilde sammenlignet med pasienter som ikke har typiske antistoffer.
Signalstoffer som regulerer immuncellene og betennelse er ofte forhøyet ved infeksjoner og kronisk betennelse. Som de første i verden beskrev vi at et viktig signalstoff (interferon) som vanligvis retter seg mot virus, er en viktig biomarkør for aktiv sykdom i Sjögren pasienter.
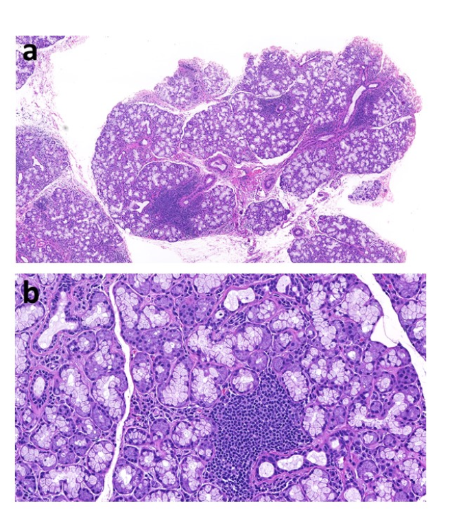
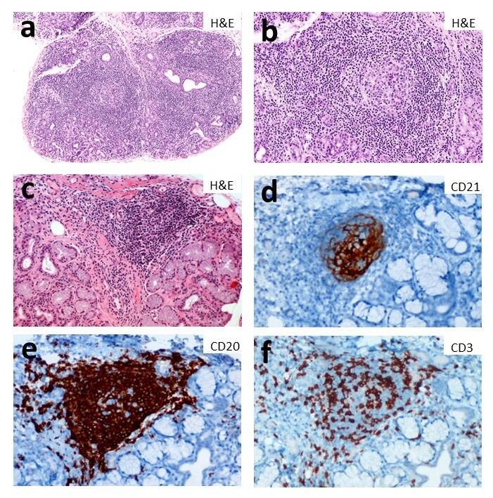
Lokal dannelse av autoantistoff mot Ro/SSA og La/SSB i spyttkjertlene ble første gang vist i en studie fra Bergen. Autoantistoff dannelse sammen med kronisk betennelse i spyttkjertlene kan tyde på at spyttkjertelvevet er en pådriver i sykdomsutviklingen. Senere har vi også funnet at fettvev i spyttkjertlene ser ut påvirke den lokale betennelsen.
I løpet av de siste 30 årene har vi gjort viktige funn ved å bruke blod, spytt og vev fra våre pasienter med Sjögrens syndrom. Dette har inspirert oss til å følge pasientgruppen over flere år, blant annet med spyttkjertelultralyd. Sjögrengruppen i Bergen har et utstrakt samarbeid i Norge, Skandinavia, Europa, USA og Brasil. Samlet vil våre funn ha betydning for fremtidig, målrettet behandling av sykdommen. I 2015 samlet vi ca. 300 Sjögrenforskere i Bergen, til den 13. internasjonale Sjögrens kongressen. På de følgende konferansene i Washington, DC (2018) og Roma, Italia (2022) deltok forskere fra Bergen med både vitenskapelige og faglige bidrag.
Sjögrenforskningen ved Universitetet i Bergen har fått finansiering fra Broegelmanns Legat, Helse Vest, Norges Forskningsråd, Den europeiske union (EU), Trond Mohn, og andre bidragsytere. Sammen med utholdende pasienter og engasjerte klinikere kan våre forskningsprosjekt bidra til ny kunnskap om Sjögrens syndrom!



