Primary Brain Tumours
Main content
Many of the primary brain tumours are derived from supportive cells (glial cells) where Glioblastomas represent the most common type. The primary brain tumours can be classified into several subgroups based on their cellular and molecular characteristics, where the most common are described below. In many cases cancer cells may break away from the brain tumor and spread to other parts of the central nervous system. This represents a serious treatment problem. The cause of primary brain tumors is unknown.
Astrocytomas
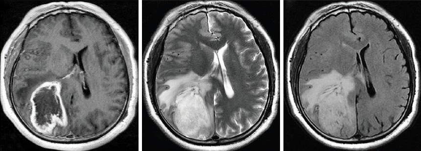
The image series above shows different MRI pictures of a patient diagnosed with an astrocytoma located in the left hemisphere. Astrocytomas, represent the most common type of primary brain tumours. They develop from star-shaped glial cells called astrocytes and can be classified into several sub-groups:
Low Grade diffuse astrocytoma
These tumours contain cells that grow slowly and may sometimes be completely removed through surgery. However, these tumours may be life threatening if they are inaccessible.
Anaplastic astrocytoma
These tumours grow more rapidly and contain cells with more malignant traits. Surgery followed by radiation, and sometimes chemotherapy, is used to treat anaplastic astrocytomas.
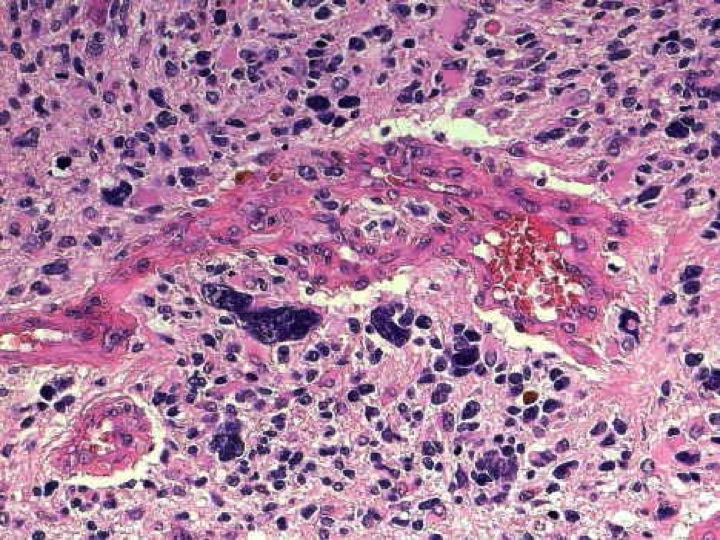
Glioblastoma multiforme (GBM)
As the name “multiforme” implies GBMs are known for their extensive cellular complexity. The tumours grow rapidly, invade nearby tissue and contain cells that are highly malignant. Doctors usually treat GBMs with surgery followed by radiation therapy and, chemotherapy. Glioblastomas multiforme are among the most common and devastating primary brain tumours that strike adults.
Oligodendrogliomas develop from glial cells called oligodendroglia and are often treated with surgery followed by radiation therapy. Their genetic makeup differ significantly from those commonly seen in diffuse astrocytomas. They can also be classified into specific subtypes based on their cellular composition and growth characteristics.
A more complete list of primary brain tumors and their characteristics is provided here

