Home
The Bergen Hypertension and Cardiac Dynamics Group
Cardiac ultrasound phantoms

In vitro evaluation of myocardial deformation measurement accuracy

Main content

Cardiac deformation can be measured as strain, rotation and twist by speckle tracking methods. To optimize these measurements, an in vitro set up has been developed in our experimental laboratory using polyvinyl alcohol elastic phantoms. This set-up was developed in collaboration with the Department of Physics and Technology, University of Bergen, Norway.

Several studies have been performed and published including:

1. Optimization of echocardiographic measurements of deformation in phantoms mimicking the newborn heart

Strain målinger i en venstre hjertekammer-modell med dimensjoner som en nyfødt

Strain measurement in a small left ventricular phantom

Photo:
Knut Matre, UiB

 

2. Accuracy of left ventricular 3D strain measurements in the adult heart

Venstre hjertekammer modell for voksne med krystaller som referanse

Adult sized left ventricular phantom with sonomicrometer crystals

Photo:
Knut Matre, UiB
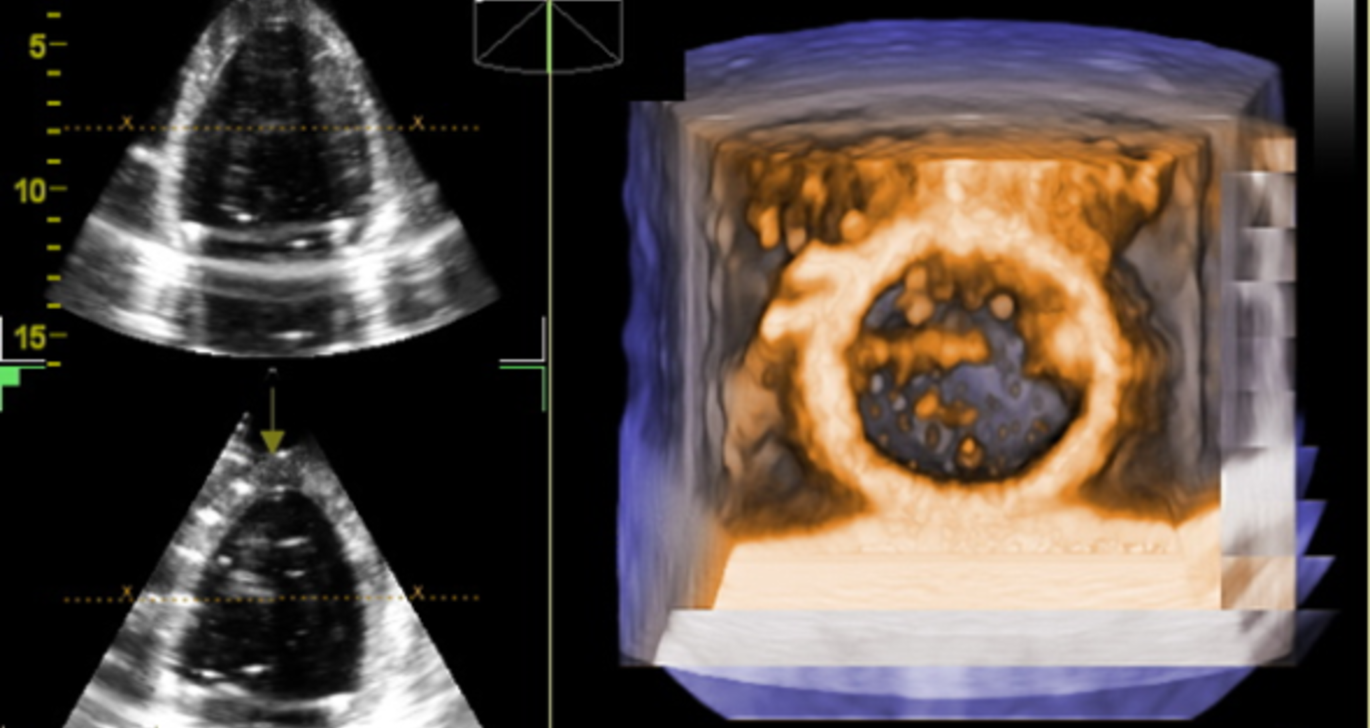
3D opptak

3D visualization

Photo:
Knut Matre, UiB

 

Ongoing projects include the assessment of the accuracy of multilayer strain measurements and measurement of ventricular rotation and twist.

Experimental ultrasound laboratory

These studies are carried out in our laboratory which is equipped with Vivid 7 and Vivid E9 scanners from GE Vingmed Ultrasound, reference method with implanted crystals from Sonometrics and workstations with different software for analysis of both experimental and clinical based ultrasound recordings.

Instrumentering for styring av pumpe og referansemetode

Pump and sonomicrometry instrumentation

Photo:
Knut Matre, UiB
Ultralydapparat og laboratorieoppsett

Ultrasound scanner and in vitro set-up

Photo:
Knut Matre, UiB

 

Johannes J. Hjertaas (PhD candidate): Accuracy of 3D echocardiographic strain and twist measurements in vitro

Umael Khan (MD): Optimizing frame rate and frequency for pediatric cardiac strain measurements

Collaborator: professor Gottfried Greve, K2

Contact person: Knut Matre (knut.matre@uib.no)